Smile Design in NYC

Patient Experience
At JBL New York City our goal is for you to receive the best patient experience possible. We’ll walk you through the process ahead of time and from the moment you step into our office you’ll find the friendly and professional staff to assist you. Read on to find out how the appointment schedule works, watch the introductory video and contact us today to schedule your appointment for Smile Design in New York City.
DSM
Our Process
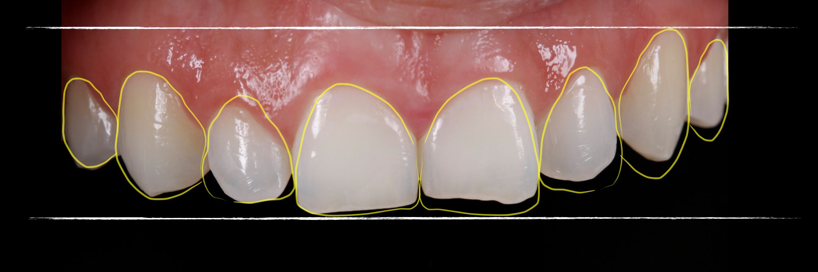
- First appointment: Our introductory appointment will involve you receiving a 3D facial scan and a 3D intraoral scan. We’ll take photos and video for smile dynamic analysis. This will help us determine how to help you get the smile you desire.
- Second appointment: After we’ve completed the full face aesthetic analysis from your first appointment, we will present the Smile Design. It will be fully customized according to your facial features and expectations. We’ll initially try it in your mouth with a temporary material so that you are able to visualize what your ideal smile will look like.
Want to learn more about how our Smile Design process can benefit you? Reach out to our JBL New York City office and we’ll walk you through the details. Our goal is that you leave with a smile on your face.
